
Implantes Dentales · Diseño de Sonrisas · Ortodoncia · Cirugía de Terceros Molares
Tratamientos personalizados que transforman tu sonrisa desde la raíz, con resultados visibles y acompañamiento profesional
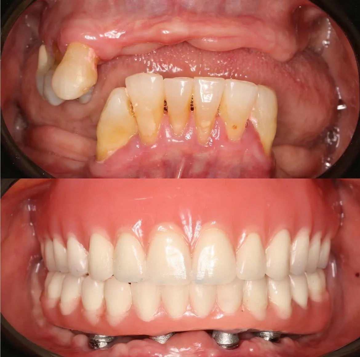
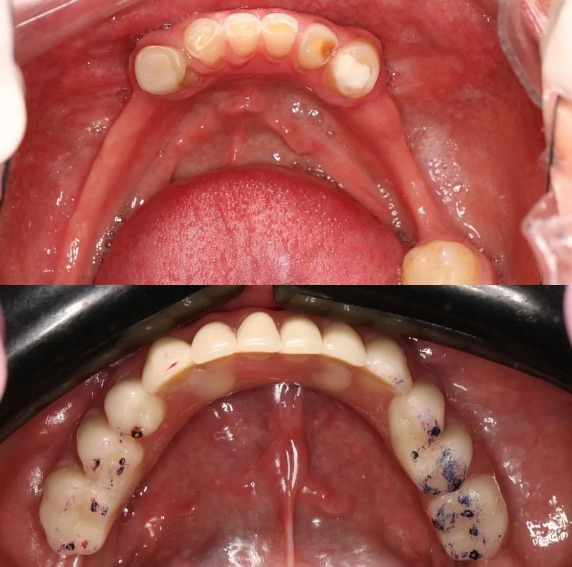
Cada historia es única. Aquí algunas transformaciones que nos llenan de orgullo.






Odontóloga

Soy Gladys Leiva, tengo 31 años. Nací en Santo Domingo, pero he vivido en Quito toda mi vida. Realicé mis estudios secundarios en el Colegio Santo Domingo de Guzmán, con especialidad en Químico-Biólogo. Cursé mi formación universitaria en la Facultad de Odontología de la Universidad Central del Ecuador 🇪🇨.
Desde temprana edad descubrí mi vocación por el área de la salud. Por ello, mi principal objetivo es servir con vocación, ética y honradez a cada paciente, valores que han definido mi ejercicio profesional durante estos 7 años de experiencia.
Desde el primer semestre de la carrera tuve la oportunidad de conectar con pacientes, lo que me motivó a compaginar trabajo y estudios. Gracias a ello, mi experiencia trasciende los 7 años como profesional, pues desde el inicio colaboré con clínicas y especialistas que aportaron significativamente a mi formación.
Esta trayectoria me dio la confianza para cumplir un gran sueño: hace 2 años fundé Bondient, una clínica odontológica basada en los mismos valores y conocimientos. En Bondient nos enfocamos en crear conciencia sobre la prevención dental y en brindar diagnósticos claros, concisos y personalizados, alineados con los objetivos de cada paciente.
Los resultados pueden variar según cada paciente. Esta página no constituye consejo médico.
© 2026 BONDIENT · Todos los derechos reservados